Are you considering cosmetic dentistry to transform your smile but unsure about where to start? You’re not alone. Many people face challenges when choosing the right specialist who not only understands their needs but also delivers results they love. This guide will walk you through the essentials of finding the best cosmetic dentistry specialist for your perfect smile. We’ll break down everything you need to know into simple, actionable steps, provide real-world examples, and offer tips to help you make an informed decision.
Why Cosmetic Dentistry?
Cosmetic dentistry focuses on improving the appearance of your teeth, gums, and bite. Procedures like teeth whitening, veneers, dental implants, and orthodontics are popular choices for those seeking a more confident smile. Whether it’s to correct a crooked smile, close gaps, or simply rejuvenate stained teeth, cosmetic dentistry offers solutions that can change your life.
Step-by-Step Guide to Finding Your Specialist
Finding the right cosmetic dentistry specialist can feel overwhelming, but by following these steps, you can make an informed choice.
Step 1: Understand Your Needs
Start by identifying what you want to achieve with cosmetic dentistry. Here are some common goals:
- Teeth whitening to brighten a dull smile
- Dental veneers to cover stains and gaps
- Braces to correct misalignment and bite issues
- Dental implants to replace missing teeth
Understanding your specific needs will help you narrow down your search to specialists who have the expertise to meet them.
Step 2: Research Potential Specialists
Next, conduct thorough research on potential specialists in your area. Here’s how:
- Use search engines to find cosmetic dentistry specialists in your area.
- Check professional directories like the American Academy of Cosmetic Dentistry (AACD).
- Read online reviews on sites like Google, Yelp, and Healthgrades to understand others’ experiences.
Quick Reference
Quick Reference
- Immediate action item with clear benefit: Start by noting down your cosmetic dental goals. This will help you communicate more effectively with potential specialists.
- Essential tip with step-by-step guidance: Ask for a portfolio of before-and-after photos from the specialist. This will give you a clear idea of their past work and results.
- Common mistake to avoid with solution: Ignoring patient reviews and testimonials. Always check reviews to get insights into patient satisfaction and potential red flags.
Step 3: Evaluate Their Credentials
Once you have a list of potential specialists, it’s time to evaluate their credentials. Consider the following:
- Ensure they have the necessary education and training in cosmetic dentistry.
- Check for certifications from reputable organizations like AACD.
- Look for memberships in professional organizations.
Credentials matter because they indicate the specialist’s expertise and commitment to their field.
Step 4: Consultation and Communication
The next step is to schedule consultations with a few shortlisted specialists. Here’s what to do:
- During the consultation, discuss your goals, expectations, and any concerns.
- Ask about the specific procedures they recommend for your goals.
- Inquire about their treatment approach, techniques, and estimated timeline.
A good specialist will listen to your needs and provide a customized plan.
How to Choose the Right Specialist: Detailed Steps
Assess Experience and Specialization
Specialists with more experience are often more adept at handling complex cases. Look for a specialist who not only has extensive experience but also specializes in the particular procedures you need.
For example, if you’re considering veneers, ensure the specialist has significant experience in placing veneers and has a portfolio showcasing the naturalness and quality of their work.
Verify Credentials and Affiliations
Credentials indicate a specialist’s level of expertise and adherence to professional standards. Check:
- Dental licenses
- Certifications from recognized dental boards
- Memberships in professional organizations
Specialists affiliated with reputable organizations like the AACD are often up-to-date with the latest advancements and techniques in cosmetic dentistry.
Evaluate the Clinic’s Facilities and Technology
A modern, well-equipped clinic often reflects the specialist’s commitment to providing high-quality care. Look for:
- State-of-the-art dental equipment
- Clean and well-maintained clinic environment
- Availability of advanced cosmetic technology
Technology like digital imaging and 3D printing can significantly enhance the precision and outcomes of cosmetic procedures.
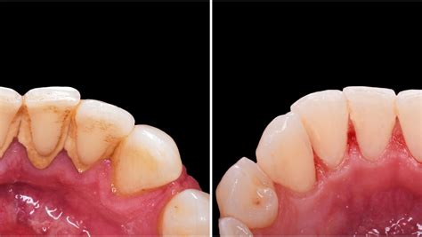
Review Patient Testimonials and Before-and-After Photos
Patient testimonials and before-and-after photos provide valuable insights into the specialist’s skill level and patient satisfaction.
Ask for a few case studies during your consultation. If possible, request to see digital portfolios that showcase the before-and-after results of multiple patients.
Discuss Costs and Insurance
Cosmetic dentistry can be an investment. It’s crucial to discuss:
- Total treatment costs, including any additional fees
- Payment plans and financing options
- Coverage details with dental insurance providers
Ensure the specialist provides a detailed cost estimate upfront to avoid unexpected expenses later.
Consider Comfort and Communication
Comfort and good communication are vital for a positive treatment experience. Consider:
- The specialist’s approachability and willingness to answer questions
- Their explanation of procedures, risks, and benefits
- Their ability to make you feel comfortable during consultations and procedures
A specialist who communicates clearly and makes you feel at ease will provide a better overall experience.
Practical FAQ
How long does cosmetic dentistry take?
The duration varies depending on the specific procedure. For instance, teeth whitening is a relatively quick process taking only a few hours, while dental veneers might require multiple appointments over several weeks to prepare, take impressions, and place the veneers. Dental implants, on the other hand, involve a multi-stage procedure that could take several months from initial consultation to the final placement of the implant crown.
Are cosmetic dental procedures painful?
Most cosmetic dental procedures are performed under local anesthesia to ensure you're comfortable. While some procedures may involve minor discomfort post-treatment, most patients report minimal pain. Your specialist will discuss any potential discomfort and how it can be managed during and after the procedure.
How do I maintain the results of cosmetic dentistry?
Maintaining the results of cosmetic dentistry involves good oral hygiene practices:
- Brush and floss daily
- Use mouthwash to reduce plaque
- Visit your dentist for regular check-ups and cleanings
- Avoid excessive consumption of foods that stain teeth
- Protect your teeth if you play contact sports
Following these practices will help prolong the effects of your cosmetic treatments and keep your smile radiant.
Remember, finding the best cosmetic dentistry specialist for your needs requires patience and thorough research. By understanding your goals, evaluating credentials, and choosing a specialist who communicates effectively and prioritizes your comfort, you can achieve the smile you've always wanted.
Embark on this journey with confidence, knowing that you have the knowledge and tools to make


