Effective tooth care is a vital component of overall health and wellness. A plethora of people find themselves overwhelmed by the various methods and products claiming to promise superior dental hygiene. In this article, we aim to unravel the best ways to manage tooth care, offering expert perspectives backed by evidence-based statements and real-life examples.
Why Consistent Oral Hygiene Matters
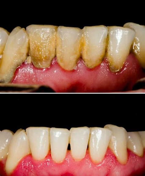
Maintaining consistent oral hygiene can prevent numerous dental issues, including cavities, gum disease, and bad breath. The Centers for Disease Control and Prevention (CDC) highlight that over 75% of adults suffer from gum disease, underscoring the importance of diligent tooth care. The Centers also state that regular brushing and flossing can significantly reduce the risk of these problems. To understand the true impact, consider that a study published in the Journal of Periodontology found that individuals who practiced regular dental hygiene had significantly fewer instances of periodontal diseases than those who did not.
Key Insights
- Consistent oral hygiene reduces the risk of gum disease and cavities
- Regular brushing and flossing can prevent severe dental issues
- Using fluoride toothpaste is recommended for stronger enamel
The Role of Fluoride in Tooth Care
Fluoride plays an instrumental role in strengthening enamel and preventing cavities. The American Dental Association (ADA) emphasizes the importance of fluoride, recommending its use in toothpaste, drinking water, and professional treatments. For instance, cities that have fluoridated water see a notable reduction in tooth decay among their populations. Additionally, studies indicate that children who use fluoride-containing toothpaste are less likely to develop cavities compared to those who do not. This underscores the importance of incorporating fluoride into daily tooth care routines.
Techniques for Effective Brushing and Flossing
The way you brush and floss can significantly impact the effectiveness of your oral hygiene routine. According to the ADA, brushing should be done for at least two minutes, twice a day, using a fluoride toothpaste. Patients should employ a soft-bristled toothbrush to avoid damaging enamel or gums. Moreover, gentle circular motions are more effective than horizontal scrubbing. Flossing should also be done at least once a day to remove plaque between teeth, an area a toothbrush cannot reach. Utilizing interdental brushes or water flossers can further enhance plaque removal and improve overall gum health.
How often should I visit my dentist?
It is generally recommended to visit your dentist for a check-up and cleaning at least twice a year. Regular dental visits can help in early detection of oral health issues and professional cleaning can remove plaque and tartar that regular brushing cannot.
Are electric toothbrushes better than manual ones?
Electric toothbrushes can be more effective due to their consistent and often more thorough cleaning. According to studies, electric toothbrushes can remove up to 10 times more plaque than manual brushes. However, both types can be effective if used properly and consistently.
In conclusion, effective tooth care is fundamental to preventing dental problems and maintaining overall health. Incorporating fluoride, employing correct brushing and flossing techniques, and adhering to regular dental visits form the core of a robust oral hygiene routine. By focusing on these aspects, one can significantly enhance dental health and avoid the detrimental consequences of poor oral hygiene.


